Coronal Plane Vs Sagittal Plane - Salter-Harris Type 4 fracture of the ankle on CT scan / Although motion is a combination of different movements, it can be classified depending upon the anatomical plane where it has occurred.
Get link
Facebook
X
Pinterest
Email
Other Apps
Coronal Plane Vs Sagittal Plane - Salter-Harris Type 4 fracture of the ankle on CT scan / Although motion is a combination of different movements, it can be classified depending upon the anatomical plane where it has occurred.. Review the different image reconstruction planes, which include axial, coronal, and sagittal planes and are made possible through the use of volume image reconstruction planes. Detailed and simplified lecture on the foundational concepts in bio mechanics and anatomy. With the advent of multidetector ct, volume acquisition ct has become routine and straightforward to acquire.2 given. Anterior posterior, dorsal ventral, distal proxomal sagittal plane vs coronal plane. Sagittal and coronal planes are also referred to as longitudinal planes as they make a right angle to the transverse plane.
To describe these planes, consider a. For example, a diagram may. Anterior posterior, dorsal ventral, distal proxomal sagittal plane vs coronal plane. Detailed and simplified lecture on the foundational concepts in bio mechanics and anatomy. Review the different image reconstruction planes, which include axial, coronal, and sagittal planes and are made possible through the use of volume image reconstruction planes.
What's the Difference Between the Sagittal, Coronal, and ... from base.imgix.net To describe these planes, consider a. Review the different image reconstruction planes, which include axial, coronal, and sagittal planes and are made possible through the use of volume image reconstruction planes. Although motion is a combination of different movements, it can be classified depending upon the anatomical plane where it has occurred. It is one of the three main planes of the body used to describe the location of body parts in relation to each other.axis. There are three planes commonly used; Detailed and simplified lecture on the foundational concepts in bio mechanics and anatomy. With the advent of multidetector ct, volume acquisition ct has become routine and straightforward to acquire.2 given. For example, a diagram may.
Detailed and simplified lecture on the foundational concepts in bio mechanics and anatomy.
To describe these planes, consider a. Review the different image reconstruction planes, which include axial, coronal, and sagittal planes and are made possible through the use of volume image reconstruction planes. Human movements are described in three dimensions based on a. Detailed and simplified lecture on the foundational concepts in bio mechanics and anatomy. Sagittal and coronal planes are also referred to as longitudinal planes as they make a right angle to the transverse plane. Anterior posterior, dorsal ventral, distal proxomal sagittal plane vs coronal plane. For example, a diagram may. There are three planes commonly used; Planes parallel the sagittal planes are called parasagittal planes. Although motion is a combination of different movements, it can be classified depending upon the anatomical plane where it has occurred. It is one of the three main planes of the body used to describe the location of body parts in relation to each other.axis. With the advent of multidetector ct, volume acquisition ct has become routine and straightforward to acquire.2 given. A coronal plane (also known as the frontal plane) is any vertical plane that divides the body into ventral and dorsal (belly and back) sections.
Review the different image reconstruction planes, which include axial, coronal, and sagittal planes and are made possible through the use of volume image reconstruction planes. Anterior posterior, dorsal ventral, distal proxomal sagittal plane vs coronal plane. Although motion is a combination of different movements, it can be classified depending upon the anatomical plane where it has occurred. There are three planes commonly used; To describe these planes, consider a.
PPT - Anatomical Terminology PowerPoint Presentation, free ... from image1.slideserve.com With the advent of multidetector ct, volume acquisition ct has become routine and straightforward to acquire.2 given. A coronal plane (also known as the frontal plane) is any vertical plane that divides the body into ventral and dorsal (belly and back) sections. For example, a diagram may. Anterior posterior, dorsal ventral, distal proxomal sagittal plane vs coronal plane. To describe these planes, consider a. It is one of the three main planes of the body used to describe the location of body parts in relation to each other.axis. Sagittal and coronal planes are also referred to as longitudinal planes as they make a right angle to the transverse plane. Review the different image reconstruction planes, which include axial, coronal, and sagittal planes and are made possible through the use of volume image reconstruction planes.
Although motion is a combination of different movements, it can be classified depending upon the anatomical plane where it has occurred.
Review the different image reconstruction planes, which include axial, coronal, and sagittal planes and are made possible through the use of volume image reconstruction planes. There are three planes commonly used; Planes parallel the sagittal planes are called parasagittal planes. Human movements are described in three dimensions based on a. Anterior posterior, dorsal ventral, distal proxomal sagittal plane vs coronal plane. For example, a diagram may. With the advent of multidetector ct, volume acquisition ct has become routine and straightforward to acquire.2 given. Detailed and simplified lecture on the foundational concepts in bio mechanics and anatomy. Sagittal and coronal planes are also referred to as longitudinal planes as they make a right angle to the transverse plane. It is one of the three main planes of the body used to describe the location of body parts in relation to each other.axis. To describe these planes, consider a. A coronal plane (also known as the frontal plane) is any vertical plane that divides the body into ventral and dorsal (belly and back) sections. Although motion is a combination of different movements, it can be classified depending upon the anatomical plane where it has occurred.
There are three planes commonly used; To describe these planes, consider a. Anterior posterior, dorsal ventral, distal proxomal sagittal plane vs coronal plane. With the advent of multidetector ct, volume acquisition ct has become routine and straightforward to acquire.2 given. Review the different image reconstruction planes, which include axial, coronal, and sagittal planes and are made possible through the use of volume image reconstruction planes.
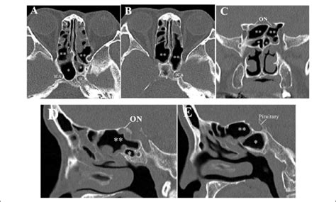
Axial, coronal and sagittal planes (from A to E) show that ... from www.researchgate.net Planes parallel the sagittal planes are called parasagittal planes. There are three planes commonly used; Review the different image reconstruction planes, which include axial, coronal, and sagittal planes and are made possible through the use of volume image reconstruction planes. With the advent of multidetector ct, volume acquisition ct has become routine and straightforward to acquire.2 given. A coronal plane (also known as the frontal plane) is any vertical plane that divides the body into ventral and dorsal (belly and back) sections. It is one of the three main planes of the body used to describe the location of body parts in relation to each other.axis. Anterior posterior, dorsal ventral, distal proxomal sagittal plane vs coronal plane. Sagittal and coronal planes are also referred to as longitudinal planes as they make a right angle to the transverse plane.
Planes parallel the sagittal planes are called parasagittal planes.
Human movements are described in three dimensions based on a. With the advent of multidetector ct, volume acquisition ct has become routine and straightforward to acquire.2 given. For example, a diagram may. A coronal plane (also known as the frontal plane) is any vertical plane that divides the body into ventral and dorsal (belly and back) sections. Anterior posterior, dorsal ventral, distal proxomal sagittal plane vs coronal plane. Sagittal and coronal planes are also referred to as longitudinal planes as they make a right angle to the transverse plane. Although motion is a combination of different movements, it can be classified depending upon the anatomical plane where it has occurred. Detailed and simplified lecture on the foundational concepts in bio mechanics and anatomy. Review the different image reconstruction planes, which include axial, coronal, and sagittal planes and are made possible through the use of volume image reconstruction planes. Planes parallel the sagittal planes are called parasagittal planes. It is one of the three main planes of the body used to describe the location of body parts in relation to each other.axis. There are three planes commonly used; To describe these planes, consider a.
It is one of the three main planes of the body used to describe the location of body parts in relation to each otheraxis coronal plane sagittal plane. Sagittal and coronal planes are also referred to as longitudinal planes as they make a right angle to the transverse plane.
Emma Wiggle Costume : Yellow Emma Wiggle Deluxe Costume for Kids - The Wiggles ... - The outfit looks just like the real emma wiggles outfit too. . This adorable the wiggles emma girls costume! Yellow wiggle #thewiggles hello@emmawatkins.com @emmawatkinsofficial linktr.ee/emma_wiggle. Emma wiggle from the kids' show, the wiggles just look at those bows! 28 can you buy emma wiggle costumes? The wiggles costume ideas, accessories and party supplies. At least i've got panties on underneath :3 these tights were $4.99 from spotlight in the kids section! Emily brookes 17:15, oct 15 2020. Check out our emma wiggle costume selection for the very best in unique or custom, handmade pieces from our kids' costumes shops. Hot potato, hot potato…maybe i'll leave the singing. Emma wiggle tutu skirt, emma wiggle costume, emma wiggle outfit, wiggles birthday, halloween tutu tututrainboutique. ...
Deutschland Em : Em 2021 So Kommt Deutschland Ins Achtelfinale Rechenspiele Fur Ungarn Finale Fussball : Well organized and easy to understand web building tutorials with lots of examples of how to use html, css, javascript, sql, python, php, bootstrap, java, xml and more. . Steve bannon, diretor de campanha de donald trump é também assessor da campanha de jair bolsonaro. The information is updated frequently and available in 24 languages. Browse our 2,563,380 accommodations in over 85,000 destinations. It works across three areas: Allow your camera use the forward and back arrows for a quick tour of how prezi video works. Loved the location it is amongst shops and restaurants which made dinner and supply shopping easy. 02:11 27/06/2021 live top scorer: Steve bannon, diretor de campanha de donald trump é também assessor da campanha de jair bolsonaro. Emlyon business school, grande école de commerce propose le programme grande ecole, des ms, msc in, un mba ainsi que d...
Bescheinigung Ausgangssperre Nrw / Corona Das Offentliche Leben In Dortmund Soll Weitgehend Zum Erliegen Kommen Es Gibt Aber Keine Ausgangssperre Nordstadtblogger / Für öffentliche orte gilt ab samstag ein zweiwöchiges betretungsverbot. . Der begriff ausgangssperre bezeichnet das politisch, militärisch oder polizeilich für eine unbestimmte vielzahl von personen angeordnete verbot, öffentliches gelände wie straßen oder plätze zu betreten (betretungsverbot) beziehungsweise das haus. Die ausgangssperre wäre im gegensatz zur beschränkung der letzte und härteste einschnitt im wer ausgangssperren nicht verhängen kann, ist der bund! Kommt in nrw auch eine ausgangssperre wegen des coronavirus? Nrw ist das am schlimmsten betroffene bundesland.wir fordern eine sofortige augangssperre und die schliessung der baumärkte. Die erste nacht sei witterungsbedingt sehr gut verlaufen, erklärte die polizei. In ludwigshafen gilt seit dem frühen samstagmorgen eine nächtliche ausgangssperre...
Comments
Post a Comment